“下壁心梗@急诊科李磊”“急性下壁心梗”“应该是右冠的问题”……8月25日23时17分,荆门二医胸痛中心救治微信群里,一张由急诊科医生李磊发出的心电图图片,立即引起了多位心血管内科专家同时诊断。
“李国金,男,72岁,胸痛30分钟,CK-MB23.67ng/ml……”23时32分,综合患者典型症状、心电图典型特征改变等指标,初步诊断为急性心肌梗死(下壁+右室),必须尽快行介入手术(PCI)开通血管。一场生死时速的急救就此拉开。

传至胸痛中心微信群的首次心电图

荧光免疫定量分析、复查心电图后确诊
“黄金时间”窗内赢得先机
23时35分,随着诊断信息的确认,吸氧、监护、建立静脉通道、阿司匹林嚼服、吗啡静推等有序开展。同时,荆门二医胸痛中心立即启动“绿色通道”,并通知相关科室、相关人员立即提前做好手术准备,做至人未到、信息先到、药品器械先到。
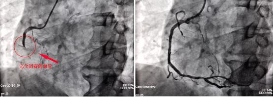
23时50分,老李经“绿色通道”绕行CCU冠心病重症监护病房由急诊科直接进入导管室,急诊PCI手术也随即就绪。此时,导管室急诊冠脉造影提示老李“心血管三支病变”,即前降支开口慢性完全性急性闭塞、回旋支重度狭窄、右冠近端急性闭塞。“诊断已经非常明确,立即行经皮微创冠脉介入治疗PCI开通闭塞的血管,这是挽救老李最快最有效的办法。”荆门二医胸痛中心技术总监、心血管内一科主任刘兵华内心十分清楚,这是唯一的机会,容不得半点迟疑。
00时20分,介入手术顺利完成,堵塞的血管被顺利打通。从进入导管室到堵塞的血管被打通仅仅用了30分钟。

心脏血管3D效果图

冠脉造影下老李的血管从闭塞到开通
事后了解,老李3天前因食欲不佳、恶心乏力,在社区医院输液治疗。当天晚上正看着电视,突然胸口一阵闷疼、恶心,疼得都坐不起来了,浑身是汗,老李的儿子马上送他到了二医。“以为只是普通的感冒,开了3天的液体,输了2天仍不见好转,还差点把命丢了。”26日,老李从CCU(冠心病重症监护室)转到普通病房,回忆起当时的情形仍心有余悸。
老李能够在如此短的时间内恢复如常,正是得益于荆门二医胸痛中心区域救治体系的建设。刘兵华表示,老李的幸运来自“两个30分钟”——胸痛发作30分钟到医院、30分钟内开通闭塞血管。对于心肌梗死患者来说,从发病到血管再疏通时间越短,生存希望越大,赶在“黄金时间”窗内赢得先机。通常理想时间是发病后90分钟内,每拖延1分钟就会有大量的心肌细胞死去,超过3小时,生存的希望就极为渺茫。

术后当日下午,老李转入普通病房
“胸痛中心”建设成效显著
“一个高效、规范的胸痛中心区域救治体系,能够为胸痛患者提供更准确、更快速的诊疗,对于缩短患者救治时间起着非常重要的作用。”刘兵华介绍,荆门二医2018年就启动了胸痛中心的建设工作,近两年来成效显著。目前,已成功救治患者百余例,D-to-B(门球时间,从入院到开通血管时间)时间最短为30分钟。
胸痛中心建设持续改进工作只有进行时,没有完成时。按照中国胸痛中心总部的认证标准,荆门二医多措并举,成立了以急诊科、心内科、影像科、检验科、超声科、导管室、CCU等多学科专家组成的团队,全力保障人力、设备与资金等方面的投入。已经逐步建立并完善一整套与胸痛相关的规范工作制度和诊治抢救流程, 就诊、入院、手术、出院环环相扣,为急性胸痛患者提供7天×24小时的全天候的专业处置。组织骨干外出学习参观、邀请胸痛专家到院讲座、开展胸痛应知应会培训、胸痛救治流程实战演练,整体救治水平得到了大幅度的质的提升飞跃。
荆门二医还充分发挥区域医联体龙头医院优势,创建了“荆门二医胸痛救治网络”微信群,涵盖了医联体内的9家基层医疗机构的急诊科、心内科医务人员200余人。一旦接诊急性胸痛患者,微信群里汇报病情,上传检查结果,由荆门二医胸痛中心专家组做出诊断。设置胸痛中心专用电话6900256,一键启动“绿色通道”,“病人未到,信息先到”“病人未入院,手术团队全部就位”,统一协调,增强荆门二医胸痛中心的辐射面, 提高全市对急性胸痛患者的救治能力。
刘兵华提醒,如果你是疑似胸痛患者的“第一目击者”,请及时拨打2633120(荆门二医急诊科)或120寻求最专业的救治,切勿心存侥幸,错过“黄金时间窗”,不提倡自行前往。急救车上配有专用药物、专业设备,更快到达胸痛中心的同时,高效的院前处置以及“绿色通道”的开启,可绕行急诊科及CCU病房直达导管室开通血管,为患者赢得更多的时间。